脳神経外科
疾病・治療脳外科医がお話しする特発性正常圧水頭症一覧に戻る
歳がいって、うまく歩けなくなったり、物忘れが多くなったりした際に、「もう歳だ」とあきらめていることはありませんか?これらの症状はさまざまな原因により起こりますが、もし正常圧水頭症によるものでしたら、手術で良くなることが期待できます。
正常圧水頭症とは?
頭の中に髄液が異常に溜まり、歩きにくくなり、物忘れやおしっこの失敗などの症状が出ます。脳の病気に続いて水頭症が起こることがあり、続発性正常圧水頭症と言います。原因が特定できない場合は、特発性正常圧水頭症と言います。今回は特発性正常圧水頭症について説明いたします。
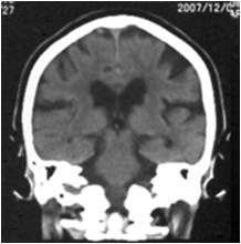
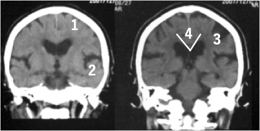
特発生正常圧水頭症のCT画像
特発生正常圧水頭症の特徴的CT所見(通常は脳を水平に撮影しますが、冠状に撮影した画像のほうがより特徴を捉えることができます)
- 脳の上のほうの隙間が狭い
- 前頭葉と側頭葉の隙間が大きく開く
- 局所的に大きな脳の隙間がある
- V字型になる(正常では直線に近い)
症状
歩く際、歩幅が小さくなり、足が開き気味となり、すり足となってきます。物忘れとしましては、集中力や意欲の低下などが合わせてみられます。
また、トイレが間に合わなくなり失敗するということも起こります。放置すると、進行性に症状は悪化していきます。
診断
まずCTやMRI検査を行います。そこで正常圧水頭症が疑われましたら、腰から針を刺し、溜まっている髄液を抜きます。症状の改善がある場合は、手術で良くなる可能性があると判定されます。詳しく調べるために、通常は数日の入院を要します。
治療
たまった髄液を身体の他の部位に流すようにします。頭からお腹に髄液を流す脳室-腹腔シャント術、頭から心臓に流す脳室―心房シャント術、腰からお腹に流す腰椎―腹腔シャント術があります。この中で、最近は腰椎―腹腔シャント術をすることが多くなっています。手術時間は1時間程度です。


合併症
チューブ内を過剰に髄液が流れて頭痛をきたしたり、脳の表面と頭蓋骨の間に髄液や血液が溜まったりすることがあります。これらの問題が起こりました場合には、シャントチューブの途中に設置している流れを変える装置を操作することにより、治療ができるようになってきました。しかし、ときに感染が起きたり、シャントチューブがつまったりすることがあり、再手術が必要になることもあります。
正常圧水頭症の頻度は65歳以上の約1.1%とされています。計算上、人口10万人あたりおおよそ300人に正常圧水頭症の症状がみられます。正常圧水頭症は60歳程度から発症しますので、実際にはもっと多くなります。例えば、和泉市、泉大津市、岸和田市の3市を合わせますと、1,000人以上の方が正常圧水頭症ということになります。これまで、私どもはできるだけ機会をとらえては正常圧水頭症につきまして広く伝えてきたつもりですが、年間わずかに10人程度を治療しているに過ぎません。つまり、まだまだ多くの方が未治療のままの状態です。まず症状からこの病気を疑い受診を促す必要があり、医師のみではなく、医療関係者、一般市民の方々の協力が欠かせません。
歳がいってうまく歩けなくなったり、物忘れが多くなったりした場合、正常圧水頭症による症状の可能性も考えられます。ぜひ早く脳神経外科または神経内科を受診して、診断、治療を受けて元気で明るい生活を取り戻していただきたいと思います。
執筆医のご紹介
成瀬 裕恒 Hirotsune Naruse
脳外科・脳卒中センター 顧問 兼 脊椎外科部長






