リハビリテーション室
取り組み嚥下評価/嚥下教育入院のご案内一覧に戻る
「むせる」「食事に時間がかかる」など、飲み込みに不安を感じる方に向けた短期入院プログラムです。
嚥下評価・教育入院とは?
嚥下造影(VF)による検査で飲み込みの状態を確認し、言語聴覚士(ST)による訓練・姿勢調整・食事形態の調整、ご家族の支援までを一体で行う教育入院プログラムです。
当院では、嚥下障害の評価/訓練経験を持つ言語聴覚士(ST)が中心となり、医師・看護師・栄養士・リハビリスタッフが連携して支援を行っています。
安心して評価/訓練を受けていただける環境を整えています。



| ・在宅/施設生活での安全な食事を目指す | ・5日/14日間の選べるプラン |
| ・VFで評価→目標設定→訓練→再評価 | ・家族向け「食事サポートノート」付き |
こんな症状でお困りではありませんか?
在宅または施設で生活されている方で、以下のような症状のある方が対象です。
- 飲み込みにくい、食事に時間がかかる
- 食事中によくむせる、咳が出る
- 食後に声がガラガラする
- 食べる量が減ってきた、食事中に疲れる
これらは「飲み込みの力」が低下しているサインかもしれません。
入院までの流れ
まずは外来でご相談ください。以下は入院までの流れです。
①外来初診(木・金)
お悩みを伺い、入院のご相談とスクリーニング検査(簡単な状態把握検査)を行います。
結果をもとに医師とSTが訓練内容や入院日数をご提案します。
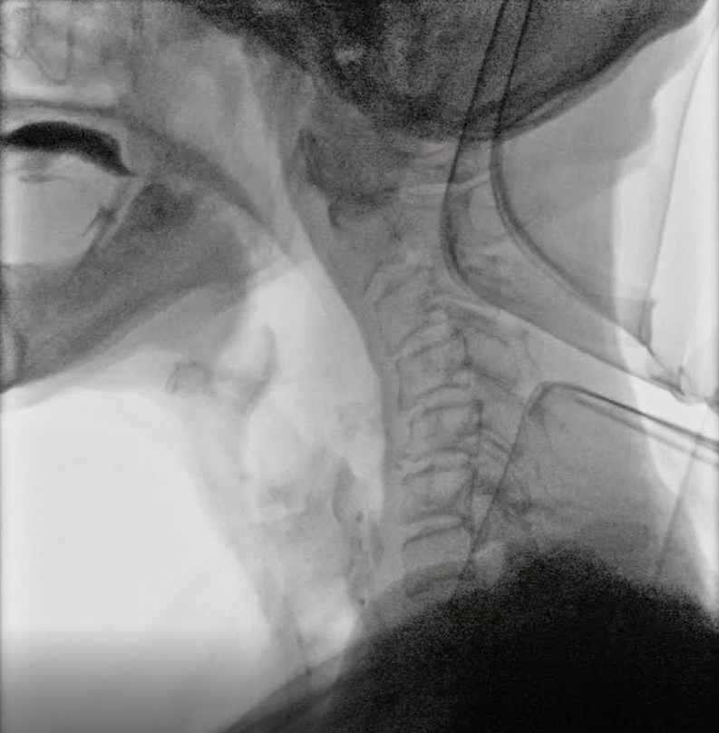
②入院・VF検査(飲み込みのレントゲン検査)
入院初日にVF検査を実施し、嚥下状態を詳しく確認します。
③本格的な訓練
必要に応じて嚥下治療機器(電気刺激)・姿勢調整・食事形態の見直しなどを実施します。
④ 退院・ご家族サポート
介助方法や調理方法を丁寧にご説明し、退院後の生活を支援します。(食事サポートノート付き)
入院プラン
| プラン | 日数 | 内容の目安 |
|---|---|---|
| 短期 | 5日 | 評価 / 検査+嚥下治療機器導入体験 (VF検査による評価とアドバイス中心) |
| 2週間 | 14日 | 評価 / 検査+電気治療機器による訓練を継続し治療効果を検証 (入院時)VF検査による評価 (入院中)嚥下治療機器による訓練 食事内容の変更・食事の際の姿勢指導 (退院時)再評価結果をもとにご本人ご家族様へのアドバイス |
使用する主な嚥下治療機器
バイタルスティム
嚥下の筋肉に電気刺激を与え、飲み込みの動きを改善する医療機器。
sRED
舌の奥の筋肉を鍛える機器。個々の状態に合わせて強度・回数を設定します。
ジェントルスティム
低周波刺激により喉の感覚を高める医療機器。
よくあるご質問(Q&A)
Q. 入院は必要ですか?
A. 安全に評価と訓練を行うため、数日~2週間の入院を基本としています。
ご家族様の安心にもつながります。
Q. 電気刺激治療は痛いですか?
A. 刺激の強さを調整するため、多くの場合は痛みを感じずに実施できます。
Q. 家族への指導はありますか?
A. 退院前に介助方法・食事調理の工夫をSTが一緒に確認いたします。
退院後の食事に役立つ資料として「食事サポートノート」をご提供します。
問い合わせ先
阪南市民病院 1F地域連携室
TEL:072-471-3321(代表)平日受付時間9:00〜18:00
ご相談・ご紹介は地域連携室までお気軽にお問い合わせください。
かかりつけ医からの紹介にも対応しております。
SDGsの取り組み
市民公開講座
阪南介護相談センター
病院機能評価認定病院