放射線室
紹介・取り組みMRI検査に関する注意事項一覧に戻る
MRI検査とは
MRI(Magnetic Resonance Imaging:磁気共鳴画像診断装置)検査は、強力な磁石でできた円筒状の機械に入り、磁気や電波の力を利用して体の断面や血管を撮影する検査です。
- 検査時間は、20分~1時間程度です。(痛みや放射線被ばくはありません)
- 検査中は、工事現場のような機械音がします。
(撮影部位に応じて、ヘッドフォン・耳栓などご用意しております) - 検査中に異常を感じた場合は、緊急ブザーを握ってください。
- 検査中は画像に乱れが生じるため、できるだけ体を動かさないでください。
検査前の準備
検査前に所定の検査衣に着替えていただきます。
またMRI検査室には24時間、常に大きな「磁力」が発生しているため、金属製のものは持ち込めません。
持ち込めないもの(例)

MRI検査を受けられない方
次のような方は検査をお受けになれない場合がありますので、必ずスタッフに申し出てください。
- 心臓ペースメーカー・人工内耳・神経刺激装置などの体内電子機器を埋め込んでいる方
- 脳動脈瘤クリップを挿入されている方
- 各種ステント・血管内コイルなどを埋め込んでいる方
- 人工心臓弁を埋め込んでいる方
- 躯幹部・四肢に入れ墨をされている方
- 眼球内に金属粉混入の可能性のある方
上記以外にも材質の不明な人工物を体内に挿入されている方のMRI検査は、お勧めできません。
ご不明な点がございましたらご相談ください。
次のような方は条件つきで検査可能です。事前にスタッフに申し出てください。
- 脳室腹腔シャントを挿入されている方(24時間以内に再設定が必要です)
- TTS製剤※1を使用している方(除去できれば可能です)
- カラーコンタクトレンズを装着されている方(除去できれば可能です)
- ネイルをされている方(除去していただかないと検査できない場合もあります)
※マグネットネイルをされている場合は除去していただかないと検査できません - インスリンポンプ・グルコース測定器を装着されている方(除去できれば可能です)
- 磁石埋め込み型の義歯・義眼を装着されている方(不明な場合は、歯科医・眼科医に確認してください)
- 内視鏡処置クリップ(画像が劣化することがあります)
- 閉所恐怖症の方(程度によっては可能です)
- 妊娠初期(3カ月以内)の方
- 上記以外の体内金属(人工関節・人工プレートなど)を装着されている方(発熱の可能性がありますので、違和感があれば検査中止します)
※1:TTS製剤
貼付剤の裏面に銀色のアルミニウムが使用されているため、やけどの恐れがあり危険です。
ニトロダーム(経皮吸収ニトログリセリン製剤)・ニコチネル(ニコチンパッチ製剤)など
造影検査に関する注意事項
検査前
- 気管支喘息・アレルギー・造影検査時の副作用などございましたら、スタッフに申し出てください。
- 腎機能障害の可能性のある方は、スタッフに申し出てください。
- 食事制限の詳細は、予約票のMRI検査前処置※2の欄をご参照ください。(予約時間の4時間前から絶食)
- 過度の水分制限は、副作用を誘発しますので適度にお取りください。(お水・お茶など、乳製品を除く)
- 処方されているお薬は、お飲みいただいて結構です。
検査後
- 遅発性副作用防止のため、普段より多めに水分をお取りください。(造影剤は、主に尿として排泄されます)
- 帰宅後、気分不良・発疹など体に異常を感じた場合は、遠慮なくご連絡ください。(TEL:0570-02-1199)
- 授乳中の方は、24時間お控えください。
- 入浴・軽い運動は、ほぼ支障はありません。
造影検査について、ご不明な点がございましたらご相談ください。
※2:MRI検査前処置欄
予約票に下記のような欄がありますので、食事制限などについてはこちらの記入に従ってください。

その他
化粧品について
化粧品には、金属成分が含まれている物(特に、マスカラ・アイライン・アイシャドウ など)があり、画像の乱れや目に損傷を及ぼす恐れがあります。
検査当日のお化粧はなるべくお控えください。
増毛パウダーについて
増毛パウダーには、鉄などの金属成分が含まれている物があり、この粉がMRIの磁力によって吸着すると、MRIの故障を引き起こす場合があります。
検査当日の使用はお控えください。
キャンセル・変更
(各科外来受付)
受付時間:月~土曜日 午前9:00 ~ 午後5:00まで(日・祝除く)
TEL:0570-02-1199
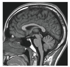
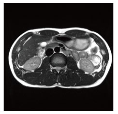
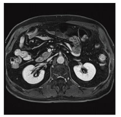
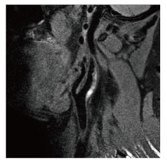
当院のMRI画像集
















