放射線室
紹介・取り組みCT検査に関する注意事項一覧に戻る
CT検査とは
CT(Computed Tomography:コンピュータ断層撮影)とは、円筒形の装置に寝ながら入り、らせん状にX線を照射して身体の断面を撮影する検査です。
- レントゲン検査と違い様々な角度から観察でき、1回の撮影で得れる情報量が多いのが特徴です。
- 当院では被ばく線量の低減に努め、全国的平均よりも低い値で検査を行っています。
- 検査時間は、10~30分程度です。
- 胸部・腹部などの部位は、呼吸によるブレをなくすため5~15秒程度の息止めが必要になります。
- 検査中は安全のため、体を動かさないようご協力お願いします。
放射線の影響について
放射線の受けた量が100ミリシーベルト未満であれば、放射線検査を受けた人と受けなかった人で、発がん率や遺伝的影響に有意な差はないと言われています 1) 2) 。
泉大津急性期メディカルセンターでは被ばく線量の適正化を図り、国内基準より放射線の量を抑えて検査をおこなっています。
1.Suzuki K, Yamashita S. Low-dose radiation exposure and carcinogenesis. Jpn J Clin Oncol. 2012 Jul;42(7):563-8. doi: 10.1093/jjco/hys078. Epub 2012 May 28. PMID: 22641644.
2.Report of the United Nations Scientific Committee on the Effects of Atomic Radiation 2010.
造影検査について
造影剤について
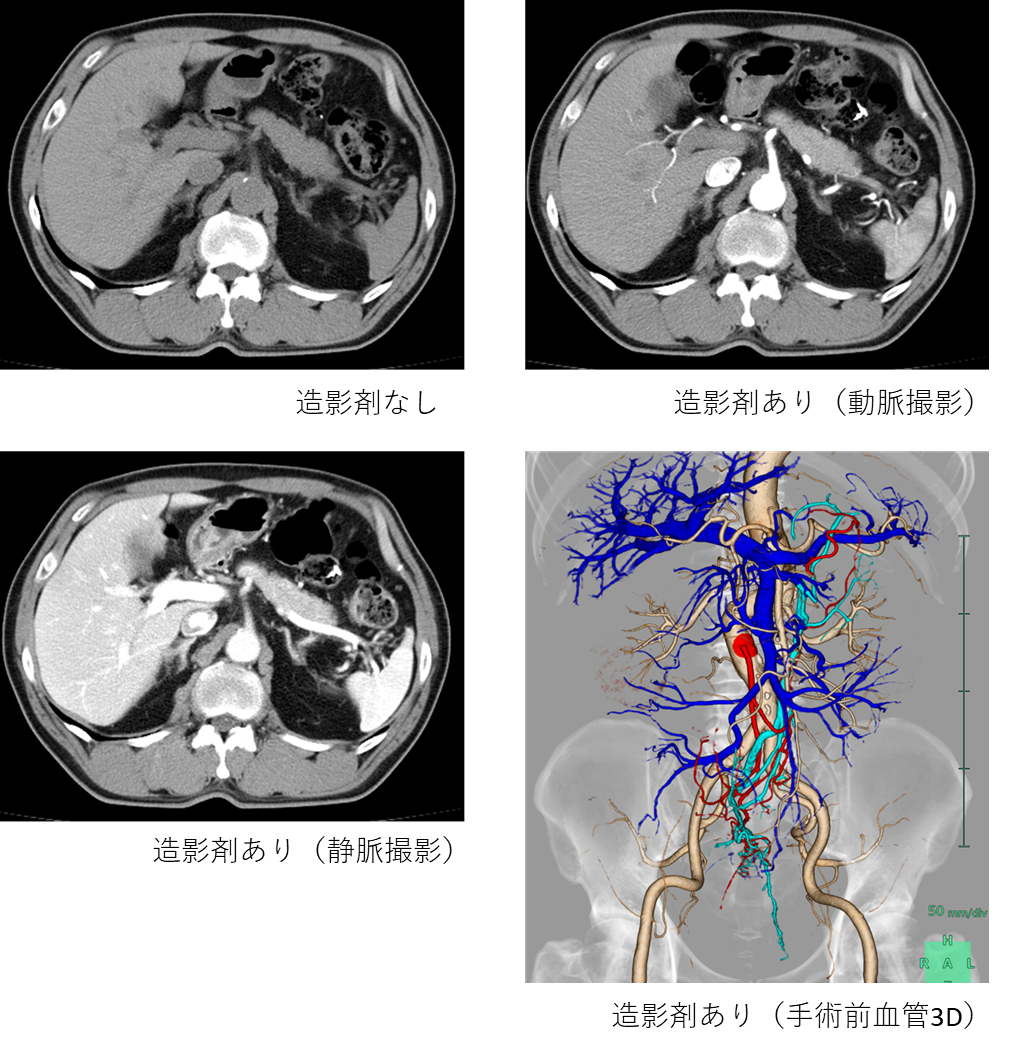
CT画像は器や血管・病気の境界はわかりにくいため様々な工夫がされており、その1つが造影剤を使用することです。
造影剤を血管から投与することで、臓器や血管にコントラストがつき病気が見つけやすくります。そのためスクリーニング検査や手術前など、多くの場面で使用されています。
また造影剤を使用した画像データから腹部・心臓3D血管画像等の作成が可能となります。
造影剤は使用後約1日で腎臓から尿中に排出されますが※1、まれに他のお薬と同様に副作用が起こることもあります。
※1 腎機能障害がある方はこの限りではありません。
造影検査時の注意事項
検査前
- 過去に造影剤アレルギーによる副作用歴のある方、気管支喘息をお持ちの方、重篤な甲状腺疾患がある方、腎機能障害の可能性のある方はスタッフまでお申し出ください。
- 食事制限の詳細は、予約票の【食事・水分・薬について】の欄をご参照ください。
- 水分制限ありませんので、いつも通り水分摂取をしていただいてください。ただし、牛乳などの乳製品やジュースはご遠慮ください
- 糖尿病薬の一部(ビグアナイド系糖尿病薬)※2は、ヨード造影剤との併用で副作用起こる可能性があります。当院では造影検査をおこなう場合、「検査日前後2日間の休薬」が必要となります。休薬についての相談は主治医とご相談ください。
※2 ビグアナイド系糖尿病薬一覧はこちら
検査中
- 検査中は、スタッフが常に観察していますので、何か異常を感じましたら我慢せずお伝えください。
- 重篤な副作用が発生した場合は、医師・スタッフが適切な処置をおこないます。
検査後
- 副作用の大半は使用直後から数分以内に起こる急性副作用ですが、ご帰宅後に起こる遅延性副作用もあります。
- 遅発性副作用防止のため、造影検査後は普段より多めに水分をお取りいただき、排尿をおこなってください。(造影剤は、尿として排泄されます)
- ご帰宅後に吐気や、全身の発赤・蕁麻疹など体に異常を感じましたら、遠慮なくご連絡ください。
- 造影剤投与後24時間以内の母乳への移行は、投与量の1%未満と報告されているため、乳児への影響は非常に小さいことが報告されています 3)。ですが、造影検査に抵抗がある場合は遠慮なくお申し付けください。
- 身体に異常が見られない場合は、普段と変わらない生活をしていただいて構いません。
3.公益社団法人日本放射線医学会.“授乳中の女性に対する造影剤投与後の授乳の可否に関する提言”
https://www.radiology.jp/member_info/news_member/20190627_01.html
造影検査について、ご不明な点がございましたらご相談ください。
泉大津急性期メディカルセンター 放射線室 TEL:0570-02-1199(ナビダイヤル)
その他
検査のキャンセル・変更について
- 検査内容・被ばく線量・造影検査など、ご不明な点がございましたらご相談ください。
- 検査のキャンセル・変更についてはご連絡ください。
受付時間.午前9:00 ~ 午後5:00まで(月~土)
TEL.0570-02-1199






